Please ensure Javascript is enabled for purposes of
website accessibility
(419) 427-1500
1301 East Sandusky St. Findlay, OH 45840
Menu
Book an Appointment
About Us
Meet Our Doctors
Meet Our Team
Meet Our Dog
Office Gallery
Smile Gallery
In-House Lab Work
New Location Progress
Our Services
Preventive Dentistry
Emergency Dentistry
Cosmetic Dentistry
Restorative Dentistry
Dental Implants
Orthodontics
Oral Surgery
Comfort Dentistry
Kids' Dentistry
Sleep Apnea
New Patients
New Patient Forms
Insurance & Financing
Discount Dental Plan
Patient Reviews
Contact Us
Book an Appointment
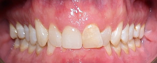
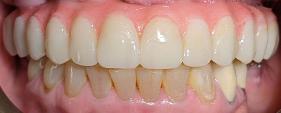
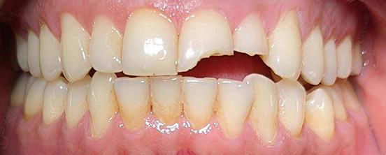
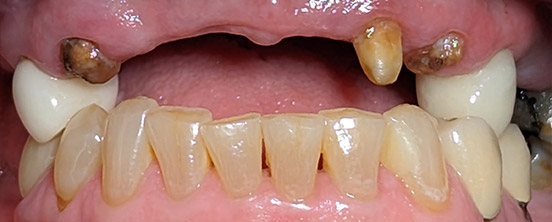
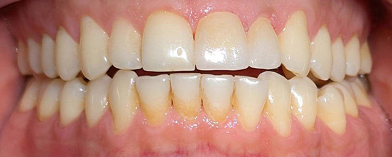
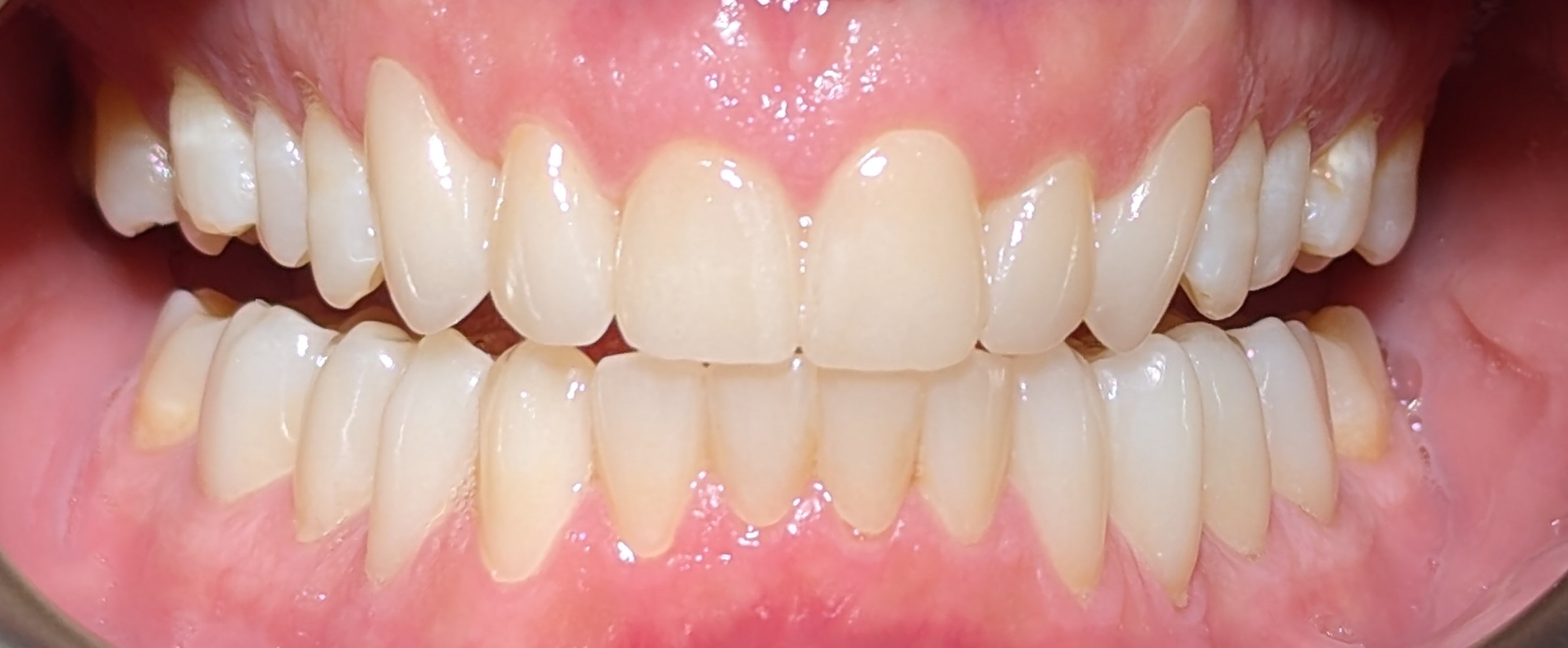
Smile Gallery
Anderson Family Dentist
About Us
Smile Gallery
Pay Now
Get Financing Now
Contact Us
(419) 427-1500
"
*
" indicates required fields
New Patient?
*
Yes
No
Full Name
*
Email Address
*
Phone Number
*
Message
CAPTCHA
Office Hours
Monday:
8:00AM - 5:00PM
Tuesday:
7:00AM - 5:00PM
Wednesday:
7:00AM - 5:00PM
Thursday:
7:00AM - 5:00PM
Friday:
8:00AM - 12:00PM
(419) 427-1500
Contact Us
(419) 427-1500
625+ Google Reviews
5.0 stars